Протезирование заменяет отсутствующую часть зуба или группы зубов.Тщательно составленный план лечения в нашей клинике всегда разрабатывается в соответствии с требованиями клиента с упором на эстетику и долгосрочную функциональность зубных протезов. Во время лечения мы можем изготовить как несъемные, так и съемные реставрации.
Вкладки
Протезирование зубов вкладками – это стоматологическая процедура, основная функция которой является восстановление структуры сильно поврежденного зуба, или зуба который полностью отсутствует. Стоматология предлагает на сегодняшний день очень широкий и разнообразный спектр услуг по протезированию зубов. В данном случае речь пойдет о протезировании зубов вкладками. Установка зубных вкладок относится к одному из методов микропротезирования. Этот способ подходит для тех у кого почти не осталось собственного зуба , но прежде чем принимать какие либо решения ,нужно посоветоваться с врачом , для этого нужно записаться на консультацию перейдя по данной ссылке
Врачи-стоматологи отмечают, что протезирование зубов является важным этапом в восстановлении здоровья полости рта и улучшении качества жизни пациентов. Современные технологии позволяют создавать протезы, которые не только эстетически привлекательны, но и функционально эффективны. Специалисты подчеркивают, что правильный выбор типа протеза зависит от индивидуальных особенностей пациента, таких как состояние десен, количество оставшихся зубов и общая здоровье.
Многие врачи рекомендуют проводить протезирование как можно раньше, чтобы избежать дальнейших осложнений, таких как смещение зубов или проблемы с жеванием. Кроме того, качественные протезы могут значительно улучшить уверенность пациента в себе, что также важно для психологического состояния. Врачи советуют регулярно посещать стоматолога для контроля состояния протезов и своевременной коррекции, что поможет продлить срок их службы и сохранить здоровье зубов и десен.

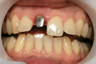
Коронки
Коронки заменяют весь зуб , полностью покрывая его как оболочку . Они являются выбором лечения в ситуациях, когда невозможно лечить зуб иначе — менее инвазивным методом.
После препарирования зуба и снятия слепка в лаборатории изготавливается коронка, которая фиксируется на культе зуба с помощью цемента. В подходящих случаях, особенно для живых зубов, на зубы устанавливаются временные коронки , поэтому пациент не покидает операцию без зубов и не испытывает боли даже после шлифования живыми зубами.
Мнения людей о зубных протезах варьируются от положительных до негативных. Многие отмечают, что протезирование значительно улучшает качество жизни, позволяя восстановить жевательную функцию и уверенность в себе. Пользователи часто делятся опытом, как новые зубы помогают им вернуться к привычной диете и общению без стеснения. Однако есть и те, кто сталкивается с дискомфортом в процессе адаптации. Некоторые жалуются на неудобство или необходимость регулярной корректировки протезов. Важно отметить, что современные технологии позволяют создавать более естественные и удобные решения, что делает процесс протезирования менее болезненным. В целом, большинство людей признают, что преимущества протезов перевешивают возможные недостатки, и рекомендуют не откладывать визит к стоматологу.

Стоматологические мосты
Мостовидные протезы заменяют отсутствующие зубы , это фиксированное лечение (постоянная фиксация на опорных зубах). Частью моста являются замененные зубы в качестве промежуточных элементов , а сама опорная конструкция представляет собой зубцы, прилегающие к зазору, которые стачивают до основания коронки и, таким образом, образуют стойки моста.
Мосты — это предпочтительный метод лечения в ситуациях, когда желательно наложить шину на оставшиеся зубы, а также в ситуациях, когда пациент не желает лечиться с помощью имплантатов или имплантация нецелесообразна по состоянию здоровья.
Съемные протезы
Съемные протезы — это заменители зубов, которые прикрепляются к оставшимся зубам с помощью другого механизма и могут быть удалены изо рта и повторно прикреплены в любое время по мере необходимости.

1. Съемные протезы с простыми анкерными (ретенционными) элементами.
Это простейший вид съемного протеза, механизм крепления — простые проволочные зажимы , которые удерживают протез на оставшихся зубах. При многих недостатках они часто используются как временное решение . Это связано с тем, что зубы чрезмерно усилены и перегружены проволочными зажимами. В результате повышается их подвижность и, как следствие, возможны потери.
2. Замещения скелета
Скелетные протезы представляют собой съемные протезы более высокого качества , в основном за счет фиксации на оставшихся зубах. Часть собственной металлической конструкции (каркаса) протеза представляет собой литые беспроволочные зажимы, их ручки не расшатываются, поэтому протез лучше удерживается на оставшихся зубах и отсутствует такая перегрузка, как в протезах с простыми анкерными элементами.
Зубы, прилегающие к промежуткам, обычно снабжены специальными несъемными коронками с фрезеровкой, причина, с одной стороны, их защита от стресса и, в то же время, шинирование зубов с ослабленной костью.
Вопрос-ответ
Как долго служат зубные протезы?
Срок службы зубных протезов зависит от материала, из которого они изготовлены, и от ухода за ними. Обычно, качественные протезы могут прослужить от 5 до 15 лет. Регулярные осмотры у стоматолога и правильный уход могут значительно продлить их срок службы.
Какие существуют виды зубных протезов?
Существует несколько видов зубных протезов, включая съемные и несъемные. Съемные протезы, такие как полные и частичные, можно легко извлекать для чистки. Несъемные протезы, такие как коронки и мосты, фиксируются на зубах и требуют более сложного ухода, но обеспечивают более естественный внешний вид и функциональность.
Как проходит процесс протезирования зубов?
Процесс протезирования обычно включает несколько этапов: консультацию с стоматологом, диагностику и планирование лечения, подготовку зубов (если необходимо), снятие слепков и изготовление протезов, а затем их установку и коррекцию. Весь процесс может занять от нескольких недель до нескольких месяцев в зависимости от сложности случая.
Советы
СОВЕТ №1
Перед выбором зубных протезов обязательно проконсультируйтесь с опытным стоматологом. Он поможет определить наиболее подходящий вариант протезирования в зависимости от состояния ваших зубов и десен, а также ваших индивидуальных потребностей.
СОВЕТ №2
Обратите внимание на материалы, из которых изготовлены протезы. Современные технологии предлагают различные варианты, такие как акриловые, металлические и керамические протезы. Выбор материала может повлиять на комфорт, эстетику и долговечность протезов.
СОВЕТ №3
Не забывайте о регулярной гигиене полости рта и уходе за протезами. Чистите их ежедневно, чтобы избежать накопления бактерий и неприятного запаха. Используйте специальные средства для чистки протезов, чтобы продлить их срок службы.
СОВЕТ №4
После установки протезов дайте себе время на привыкание. В первые дни могут возникнуть дискомфорт и трудности с жеванием или речью. Если неприятные ощущения не проходят, обязательно обратитесь к стоматологу для корректировки протезов.




