Россия, Мурманск, улица Академика Книповича
Телефон:
+7 (815) 245-16- Показать номер
Пн-сб: 09:00—21:00; вс: 12:00—18:00 по предварительной записи
whatsapp telegram vk email

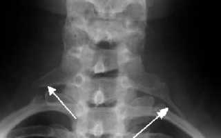
Шейные ребра

Ссылка на основную публикацию
Похожее